星期四 2025年 11月 20日
主页 国际新闻

恐怖父母虐童 4个月大男婴28处骨头全断

- Advertisement -
12399456https://www.upal.com.my/zh/feeds/jobFeedKwongwahArray ( [0] => HTTP/1.1 200 OK [1] => Date: Thu, 20 Nov 2025 04:17:27 GMT [2] => Content-Type: text/xml; charset=utf-8 [3] => Connection: close [4] => Cache-Control: no-cache, private [5] => Cache-Control: no-cache, no-store, must-revalidate [6] => Nel: {"report_to":"cf-nel","success_fraction":0.0,"max_age":604800} [7] => x-frame-options: SAMEORIGIN [8] => x-content-type-options: nosniff [9] => x-xss-protection: 1; mode=block [10] => referrer-policy: strict-origin-when-cross-origin [11] => permissions-policy: geolocation=(), microphone=(), camera=() [12] => content-security-policy: default-src * 'unsafe-inline' 'unsafe-eval' data: blob:; script-src * 'unsafe-inline' 'unsafe-eval' data: blob:; style-src * 'unsafe-inline' data:; img-src * data: blob:; font-src * data:; connect-src *; frame-src *; object-src *; media-src *; child-src *; [13] => Server: cloudflare [14] => x-robots-tag: noindex, nofollow, nosnippet, noarchive [15] => strict-transport-security: max-age=31536000; includeSubDomains; preload [16] => expires: Fri, 21 Nov 2025 04:17:26 GMT [17] => vary: Accept-Encoding [18] => Report-To: {"group":"cf-nel","max_age":604800,"endpoints":[{"url":"https://a.nel.cloudflare.com/report/v4?s=nkOAF8wuF4AY2%2BQdErvy40V1QyER8QNKe5hC4krDryZ62FeJ1%2Bp6eL%2FK1Lpbu40sakN96uNBunt9HwBUeh6bKohjnFS0edMcneAE9jM%3D"}]} [19] => cf-cache-status: DYNAMIC [20] => Speculation-Rules: "/cdn-cgi/speculation" [21] => Server-Timing: cfCacheStatus;desc="DYNAMIC" [22] => Server-Timing: cfEdge;dur=4,cfOrigin;dur=1171 [23] => Set-Cookie: UpalLiveSession=eyJpdiI6IjQ5VkJwTVJSdVdmMXNhcVhVYWd0Rmc9PSIsInZhbHVlIjoiYzF4Y1BVcE0yRjVONXlUYUVFVEdFSEdZeWJYd0d0XC9tbDYxNFVhclROMHVPbGtzczJJVVkySTVQMjFwVVZ1OGFmdFdmQ0xSR1dzXC9sRHZLK0RcL0ZBQ3c9PSIsIm1hYyI6ImUyM2MzOGZjMzI3MjA0NzhiMGMyYTA1YzljMGVmOGJhMmNlOTUwNDIyMGU1NzUxZGM0MDNhYzk1ZGQ3ZDZhYjIifQ%3D%3D; HttpOnly; Path=/; Max-Age=94608000; Expires=Sun, 19 Nov 2028 04:17:27 GMT [24] => CF-RAY: 9a15233e8ef17a7f-KUL [25] => alt-svc: h3=":443"; ma=86400 ) 789

 

4个月大男婴28处骨头全断。

4个月大男婴28处骨头全断。

 

(伦敦15日综合电)父母本应照顾孩子,但世间上就是有父母丧尽天良!英国法院近日审理一起虐童案,一名4个月大男婴惨遭亲生父母活活虐待,小小的身躯里,更有28处骨头全断。

- Advertisement -
建卓札克与柯宾丝卡恐怖虐童,对4个月大儿子下重手。
建卓札克与柯宾丝卡恐怖虐童,对4个月大儿子下重手。

据英国《太阳报》报道,32岁男子建卓札克与22岁妻子柯宾丝卡,在2017年时把年仅4个月大的儿子送到医院,全身是伤。医师检查后认为状况有异,夫妻俩则直呼孩子是被边缘翘起来的地毯绊倒,但医师发现,孩子身上共有28处骨折,而且伤势相当严重,包括手臂、肋骨、膝盖、脚踝等几乎都是全断的状况。医师验伤认为,男婴遭到强大的外力冲击,因此报警处理,建卓札克和柯宾丝卡随后遭到警方逮捕。

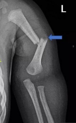
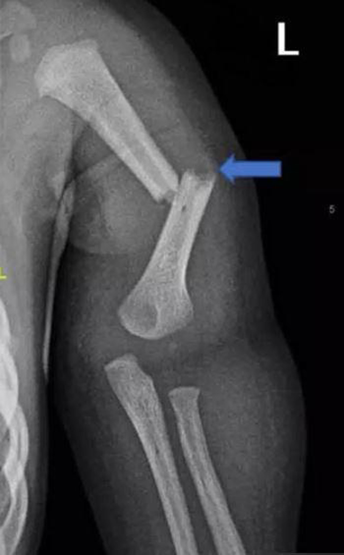
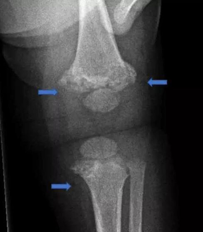
男婴膝盖骨整个断开。
男婴膝盖骨整个断开。
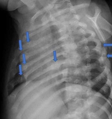
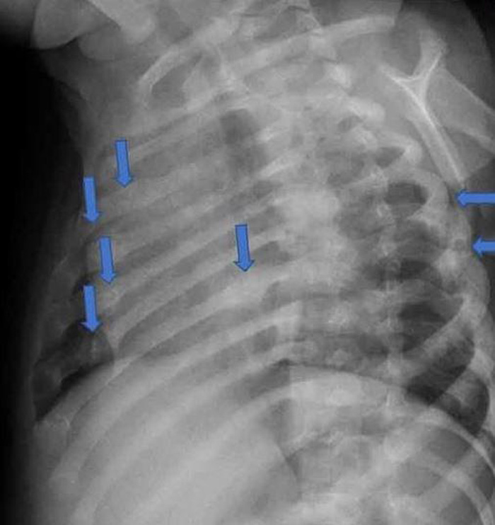
肋骨也断了不少处。
肋骨也断了不少处。

检察官指控建卓札克与柯宾丝卡虐童,导致孩子至少有20多处严重骨折,来自严重外力撞击。报导也指出,建卓札克先前就有家暴官司,曾经对母亲动手,而这起虐童案,他在庭上毫无悔意。法官韩森表示,孩子没有先天疾病或不正常,但是身上却出现许多异常伤势,很明显地非来自意外伤害,是遭到父母恶意造成,最后判处建卓札克8年徒刑,且必须服完3分之2刑期才有机会申请假释。

- Advertisement -

至于孩子母亲柯宾丝卡,法院报告指出她面对建卓札克时,处于“顺从不反抗”的角色,看到孩子被虐待,也都视而不见。韩森认为柯宾丝卡也是造成孩子受重伤的元凶之一,同样判处8年徒刑。此外,受伤男婴的伤势在经治疗后,逐渐恢复健康,警方转述医师报告表示,男婴的伤势并非为永久性肢体伤害。

找工作, 就找这里!
› 立即申请
  • Account & Admin Assistant
  • Accounting & Finance
  • Simpang Ampat
  • MYR 3K /Month
› 立即申请
  • GMBB Part Timer
  • Event
  • Kuala Lumpur
  • MYR 110.00 /Day
› 立即申请
  • Social Media Marketing Executive
  • Advertising & Marketing
  • Kuala Lumpur
  • MYR 6K /Month
› 立即申请
  • PHP Software Developer
  • Information Technology
  • Wilayah Persekutuan
  • MYR 6K /Month
› 立即申请
  • DevOps Software Engineer
  • Information Technology
  • Kuala Lumpur
  • MYR 6.5K /Month
› 立即申请
  • Java Software Engineer
  • Information Technology
  • Kuala Lumpur
  • MYR 10K /Month
› 立即申请
  • HR Recruiter (Internship)
  • Human Resources
  • Kuala Lumpur
  • MYR 850.00 /Month
› 立即申请
  • PHP Web Developer
  • Engineering
  • Kuala Lumpur
  • MYR 4K /Month
› 立即申请
  • GMBB Part Timer
  • Event
  • Kuala Lumpur
  • MYR 110.00 /Day
› 立即申请
  • Software Developer
  • Information Technology
  • Kuala Lumpur
  • MYR 4K /Month
› 立即申请
  • GMBB Part Timer
  • Event
  • Kuala Lumpur
  • MYR 110.00 /Day
› 立即申请
  • PHP Software Engineer
  • Engineering
  • Kuala Lumpur
  • MYR 4K /Month
› 立即申请
  • Multimedia - Video & Marketing (Internship)
  • Advertising & Marketing
  • Kuala Lumpur
  • MYR 800.00 /Month
› 立即申请
  • Admin cum Customer Service
  • Engineering
  • Bayan Lepas
  • MYR 3K /Month
› 立即申请
  • PHP Web Developer (Internship)
  • Engineering
  • Kuala Lumpur
  • MYR 800.00 /Month
› 立即申请
  • 软件测试与客户支持专员 Software Testing & Customer Support Specialist
  • Information Technology
  • Kuala Lumpur
  • MYR 3K /Month
› 立即申请
  • Graphic Design + Marketing (Internship)
  • Advertising & Marketing
  • Kuala Lumpur
  • MYR 800.00 /Month
› 立即申请
  • PHP Software Engineer (Internship)
  • Engineering
  • Kuala Lumpur
  • MYR 800.00 /Month

//
//
- Advertisement -
//
//